
患者さまに選ばれ続ける
歯科グループです。
当歯科グループの通院実績
- 月間来院者数約20,000人*
- 矯正治療年間1,000症例以上**
- インプラント年間1,500本以上**
用賀の歯医者「SBS歯科・矯正歯科」を運営する医療法人社団大志は、全国で20院以上を展開し、多くの患者さまに選ばれ続けている歯科グループです。
月間来院者数は約20,000人、矯正治療は年間1,000症例以上、インプラントも年間1,000本以上と、幅広い治療の実績を積み重ねてきました。
用賀で一生頼れる歯医者を目指し、これからも患者さまに寄り添った診療を続けてまいります。
*2024.8/1~8/31の期間にグループ院17医院に通院された患者さまの合計
**2025.1/1~12/31の期間に当グループ全院で実施した治療件数の合計
土日祝日も毎日診療しています

休診日:年末年始のみ
〒158-0097
東京都世田谷区用賀4-10-1 SBSタワー2階
用賀駅から直結Google map

行きたいときに行ける歯医者へリニューアルしました!
-
- 土曜PM・日祝休み
- 18時まで診療
- 完全予約制
-
- 日曜祝日も診療*
- 夜20時まで診療
- 急患も随時対応可能
今までの診療体制では、ご希望の時間に来院できない患者さまも多くいらっしゃいました。そこで当院は診療スタイルを一新し、年中無休、夜20時まで診療、急患も随時対応できる体制へとリニューアルしました。これまでお時間が合わず受診を諦めていた方でも、ご自身のペースで無理なく通っていただけます。
*年末年始のみ休診
患者さまの
希望を第一に。保険診療から審美・矯正・
インプラントまで、歯科治療
全般すべて対応いたします。

当院では、患者さまの希望を最優先に、複数の選択肢を提示しながら最適な治療を一緒に決めていく診療を大切にしています。保険診療だけでなく、矯正、審美、インプラント、外科治療まで幅広く対応できるため、症状ごとに通院先を変える必要はありません。
いつでも相談できる「生涯のかかりつけ歯医者」として、患者さまのお口の健康を守り続けてまいります。
突然の痛みやトラブルも
ご安心ください。
- 突然歯が痛くなった
- 歯が欠けた・折れた
- 詰め物や被せ物が取れた
突然の歯の痛みや、歯が欠けてしまった、折れてしまった、詰め物や被せ物が外れたなど、予期せぬお口のトラブルは誰にでも起こりえます。
当院では、こうした急患にもしっかり対応できる体制を整えており、予約がなくても可能な限り受け入れを行っています。
一人でも多くの方の
お口の悩みを解消したい

当院は「診療時間が合わない」「休診日でどこにも行けない」そんな理由で治療を先延ばしにしてしまう方を一人でも減らしたいと考えています。休日に急な痛みが出ることは珍しくありませんが、そのたびに困ってしまうような歯科医療では意味がありません。そこで当院は年中無休、平日夜20時まで診療、急患対応可能という体制を整え、忙しい方や突然のトラブルにも寄り添える歯医者を目指しています。
- 休日に急に歯が
痛くなったけど
どこの医院も休診… - 専門的な治療を
受けたいが、
平日に休みを
取るのが難しい…
当院では、急な痛みへの対応はもちろん、矯正治療やインプラントなどの大学病院レベルの専門的な治療も土日祝日に受けていただけます。
「歯医者に通うタイミングがない」とお困りの方は、お気軽にご相談ください。
矯正医常駐
幅広い矯正装置に対応した矯正歯科治療
無料相談
受付中
インビザライン*・ダイヤモンドDr在籍
当院には矯正治療を専門とする歯科医師が常駐しており、子どもの矯正から成人矯正、マウスピース矯正、ワイヤー矯正、部分矯正まで幅広く対応しています。
難症例や他院で断られたケースの相談もお受けしており、一人ひとりに合った最善の矯正治療を提供しています。
口腔内スキャナーによる
精密で負担の少ない矯正治療

- 高精度・高再現性のデータ取得
- 従来の印象材に比べ、嘔吐反射や不快感が少ない
- 治療のスピードアップと共有の
しやすさ
当院では、粘土状の印象材をお口に入れて型採りをする方法ではなく、口腔内スキャナーを使用してデータを取得します。スキャナーは小型で、スキャンは短時間で完了し、嘔吐反射が出やすい方でも負担が少ない歯型採得が可能です。
また、高精度データにより誤差が少なく、マウスピースのフィット感向上や治療のスピードアップにもつながります。
3DCTによる精密な診査・
診断と安全で精度の高いインプラント治療
無料相談
受付中
インプラント治療では、骨の厚み、神経や血管の位置、噛み合わせなどの状態を正確に把握することが欠かせません。
当院では3DCTを用いて精密な診査診断を行うことで、埋入位置、角度、深さを設計し、安全性と長期安定性を両立させています。
難症例でも妥協せず、患者さまにとって最も負担が少なく確かな結果につながる治療計画を立てます。
当院のインプラント治療の
5つのこだわり

衛生的で設備の
整ったオペ室

サージカルガイドで
安全・精密な埋入

麻酔科医による
安心の静脈内鎮静法

世界No.1シェアの
ストローマン社製
インプラント使用

負担の少ない
抜歯即時埋入に対応
実際の治療例
難症例や再治療にも対応可能。
他院で断られたケースも
当院にご相談ください。
- 症例について詳しく見る
-
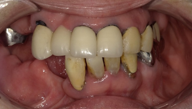
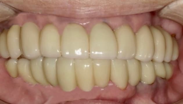
症例名 上下全顎インプラント治療 患者さまの主訴 ボロボロの歯をなんとかしたい・美味しくご飯を食べたい 治療内容 上下インプラント治療、ジルコニア治療、マイクロエンド治療、骨造成治療 患者さまの年齢 64歳 患者さまの性別 男性 治療期間 1年7ヶ月 治療にかかった総額 440万(税込) 治療する際に起こるメリット 治療により、見た目の改善、噛み合わせ・咀嚼機能の改善、清掃性向上(虫歯・歯周病リスク低下につながる場合)などが期待できます。効果には個人差があります。 治療する際に起こるリスク・副作用 治療には、疼痛・違和感、虫歯/歯周病リスク、補綴物の破損/脱離、歯肉退縮などの可能性があります。
自然な美しさと、
確かな機能性を両立するセラミック治療

セラミック治療は見た目を美しくするためだけに行うのではありません。適切な噛み合わせ、歯の形態、長期耐久性を考慮することで、見た目と機能性を同時に満たす治療が可能です。
当院では、歯の色、透明感、肌との調和など細部までこだわり、自然な仕上がりを目指した設計を行います。
法人技工所あるため
精密な技工物を
スピーディーに作製

当院は法人グループ内に専属の技工所を備えており、歯科技工士と直接連携しながらセラミックなどの技工物を精密に作製しています。色味や透明感、形態の再現もスムーズに共有でき、修正や再製作にも迅速に対応可能です。これにより、治療の進行を無理なくスムーズに行えるので、治療期間の短縮につながります。
大学教授など各分野の
エキスパートドクター
による専門治療が可能
- 矯正
- 歯周病
- 義歯(入れ歯)・補綴物
- インプラント・審美歯科
当院には、大学教授として専門分野の研究、臨床に携わる歯科医師をはじめ、高度な技術と豊富な経験を持つドクターが在籍しています。インプラント、口腔外科、矯正、審美など専門性の高い診療にも対応でき、難症例や再治療のご相談も可能です。
治療の内容に応じて最適な担当ドクターが診療を行うことで、精度の高い治療結果と安全性を追求しています。
当院の6つの特長

用賀駅直結で雨の日も安心
年中無休診療で
通いやすい歯医者
用賀駅直結の立地にあるため、雨の日や荷物が多い日でも快適に通院できます。
平日はもちろん土日祝も診療しており、忙しい方やご都合に合わせて無理なく通える体制を整えています。急な歯のトラブルにも対応できるので、安心して通える「生涯のかかりつけ歯科医院」としてご利用いただけます。
担当歯科
医師制
矯正・インプラント・審美を
一貫して同じ歯科医師が担当
当院では、診療内容ごとに担当が変わることなく、矯正、審美、インプラントなどの専門治療も含めて一人の歯科医師が継続して対応します。
患者さまの治療経緯やご要望を深く理解したうえで治療を進められるため、治療精度の向上やコミュニケーションの安心感につながります。

東京科学大学教授、世界的に著名な歯科医師在籍。高度な技術力・信頼の臨床実績あり
インプラント、外科処置、矯正治療など、高い専門性と技術力が求められる治療において、当院には東京科学大学で教育・研究に携わる大学教授陣や、国内外での講演実績を持つ歯科医師が在籍しており、診療を担当することが可能です。
豊富な臨床経験に基づいた的確な判断のもと、難症例やリスクを伴う症例にも対応できる体制を整えているため、「どこで治療を受けるべきか不安」「他院で治療を断られた」といった方にも、安心してご相談いただけます。

丁寧なコミュニケーション
安心して相談できる環境
当院では、治療技術だけでなく、患者さまとの対話を何より大切にしています。疑問や不安を残したまま治療を進めることはせず、治療内容はもちろん、メリット・デメリット、費用や通院期間についても、わかりやすくご説明します。
複数の治療方法が考えられる場合は、それぞれの選択肢を丁寧にお伝えし、十分にご理解・ご納得いただいたうえで治療を進めていきます。

充実の設備と
高水準の滅菌体制
当院では、精密な診療に欠かせないマイクロスコープや3DCT、口腔内スキャナーなどの医療機器を導入しており、より正確な診査・診断と、負担の少ない治療につなげるための設備環境を整えています。
また、患者さまに安心して治療を受けていただけるよう、滅菌や衛生管理にも細心の注意を払っています。治療器具は個別にパッキングし、高圧蒸気滅菌器を用いて適切に滅菌を行うなど、院内感染防止に配慮した清潔な環境で診療を行っています。
分院での
対応も可能
関東で18院展開
法人経営による
安定と信頼の診療体制
当院は、全国に20院を展開する医療法人グループの一院として、医療品質や安全管理、衛生体制、設備基準などをグループ全体で共有し、安定した診療体制の構築に努めています。
また、日々蓄積される症例データや治療ノウハウをグループ内で共有することで、診療の質の向上を図り、患者さまに安心して通っていただける歯科医療環境を整えています。
院長紹介
院長村井敦成-
略歴
- 国立東京医科歯科大学
卒業 - 国立東京医科歯科大学 顎顔面口腔外科研修修了
- 国立東京医科歯科大学 顎顔面補綴研修修了
- 医療法人社団大志
北上尾歯科本院 - 医療法人社団大志 旗の台歯科・矯正歯科 院長
所属学会・資格
- 日本口腔インプラント
学会 - 日本歯周病学会
- 大志本格ワイヤー矯正タイポドントセミナー講師
他
- 国立東京医科歯科大学
院長篠塚皓-
略歴
- 国立東京医科歯科大学 卒業
- 波多野歯科医院研修
- 東京医科大学口腔外科 研修
- 医療法人社団大志
北上尾歯科本院 - 医療法人社団大志 旗の台歯科・矯正歯科 院長
所属学会・資格
- 日本口腔インプラント
学会 - 日本歯周病学会
- 日本舌側矯正歯科学会
他
一人ひとりに丁寧に向き合い、
納得できる歯科治療を
提供します
当院が大切にしているのは、治療することではなく納得して治療を受けていただくことです。
患者さま一人ひとりの不安、希望はすべて異なるため、私たちは丁寧なカウンセリングを重視し、複数の治療方法がある場合はそれぞれのメリット、デメリット、将来のリスクまで分かりやすくお伝えします。
無理に決めるのではなく、患者さま自身が納得して治療方法を選択できる環境こそ、理想の歯科医療だと考えています。結果だけでなく治療の過程も大切にし、生涯のパートナーとして寄り添ってまいります。



