セラミック治療・
ホワイトニング
- TOP
- セラミック治療・ホワイトニング
口元を自然に美しく整える
セラミック治療

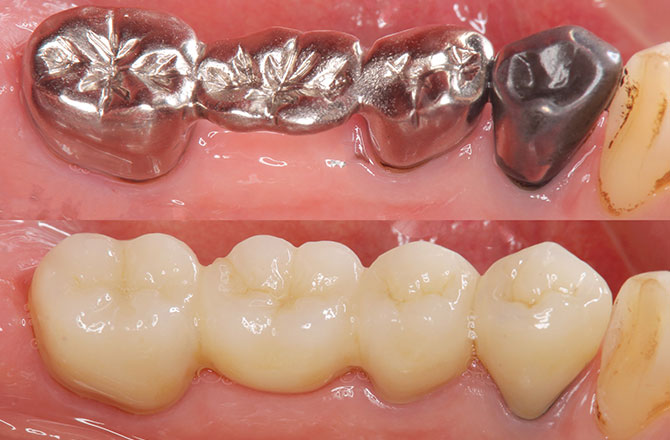
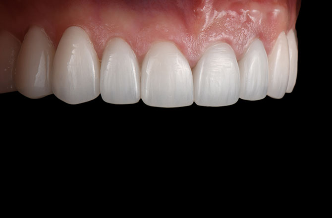
用賀の歯医者「SBS歯科・矯正歯科」では、見た目の美しさだけでなく、噛み合わせや機能性にも配慮したセラミック治療を提供しています。セラミックは、天然歯に近い透明感と色調を再現でき、変色しにくい素材として知られています。
当院では治療前に、お口全体のバランスや噛み合わせ、歯ぐきのラインまで丁寧に確認し、患者さま一人ひとりのご希望やお悩みに合わせた治療計画をご提案します。カウンセリングやシミュレーションを通して仕上がりのイメージを共有し、不安を解消しながら治療を進めていくことを大切にしています。
銀歯を白い歯にしたい方、前歯の形を整えたい方、自然で美しい口元を手に入れたい方は、ぜひ当院へご相談ください。
当院のセラミック治療の
こだわり、強み
専門技工士が在籍
法人技工所で精度の高い
セラミック作製

当院では、法人で技工所を備えており、専任の歯科技工士が作製に携わっています。歯科医師と技工士が綿密にやり取り可能なため、患者さまの歯の色、質感、形態を、より周囲の歯と調和したセラミックを作製できます。機械だけでは表現できない繊細な美しさを表現できるのが大きな強みです。
また法人内連携によって調整がスムーズに行えるため、仕上がりまでの時間が短縮でき、患者さまの負担を減らすことにもつながります。
短期間で前歯の印象を整えるセラミック矯正にも対応

前歯のガタつきやすき間、形の不揃いを短期間で改善したい方には、「セラミック矯正」という選択肢もご提案可能です。歯並び全体を動かす矯正治療とは異なり、セラミック素材の被せ物で形や向きを整えることで、比較的短い期間でご希望の見た目に近づくことができます。
機能面にも配慮して作製するため、見た目だけでなく噛み合わせのバランスにも優れた仕上がりを目指します。
セラミック治療に
おける
メリット・
デメリット

セラミックは、天然の歯に近い白さと透明感があり、口元になじみやすい素材です。また、変色しにくく、時間が経ってもきれいな状態を保ちやすいのも特長のひとつです。
保険診療の素材に比べると費用はかかりますが、歯との適合性が高く、被せ物のすき間ができにくいため、虫歯の再発リスクを抑えることにもつながります。
見た目の美しさだけでなく、長く安心して使える点を重視したい方にとって、セラミックは選択肢のひとつといえるでしょう。
メリット
- 天然歯に近い透明感があり、周囲の歯になじみやすい
- 変色しにくく、美しさを長く保ちやすい
- 金属を使用しないため金属アレルギーの心配が少ない
- 歯ぐきが黒ずんだり、境目が目立ちにくい
- 精密に装着するため虫歯の再発リスクが低い
- 噛み合わせも考慮した設計で、見た目と機能性を両立できる
デメリット
- 保険適用外のため、費用が高額になりやすい
当院の取り扱い
審美治療素材
下記に記載ないものでも柔軟に対応可能ですので、お気軽にご相談ください。
セラミック

天然歯に近い白さだけでなく、透明感や艶も備えており、自然で美しい見た目を実現できます。耐久性も高く、汚れや変色がつきにくいため、美しさを長く保てる素材です。
ジルコニア

人工ダイヤモンドとも呼ばれるこの素材は、強度と耐久力に優れ、欠けにくいため奥歯にも安心して使用できます。自然で美しい見た目に加え、変色しにくく美しさが長持ちするのも特長です。さらに、金属アレルギーの心配もありません。
メタルボンド

金属フレームにセラミックを焼き付けた被せ物です。セラミック単体に比べると透明感はやや劣りますが、自然で美しい白さを再現できます。強度が高いため奥歯にも安心して使用でき、耐久性に優れています。金属アレルギーのリスクがある点には注意が必要です。
ダイレクトボンディング

歯に歯科用レジンを直接塗り重ねることで、歯の色や形を回復させる治療法です。治療期間が短いため、欠けた歯やすきっ歯をすぐに改善したい方におすすめです。
症例によっては即日対応が可能です。
ラミネートベニア

歯の表面を薄く削り、セラミックのシェルを貼り付ける治療法です。ネイルチップのように、気になる部分を手早く整えられるのが特長です。前歯の色や形、すき間が気になる方におすすめです。
歯医者だからできる
安心のホワイトニング

当院のホワイトニングは、歯科医師、歯科衛生士が専門的な知識のもとで行うため、エステのホワイトニングとは違う、安全性と効果の高さが大きな特長です。
ホワイトニング前には、歯についた歯石や着色汚れを落とし、虫歯や歯周病などがあれば優先して治療するので、歯を傷めず、効率よく歯を白くすることが可能です。
また、歯の質、生活環境、ご希望の白さに合わせて最適な方法をご提案し、処置後のフォローも丁寧に行っています。
市販製品では不安な方や、より安全性と効果を重視したい方は、ぜひ一度ご相談ください。
当院の取り扱い
ホワイトニングメニュー
ホームホワイトニング

ご自宅で患者さま自身が行うホワイトニングです。
時間をかけて白くしていくため、白さを実感するまでには時間がかかりますが、色戻りが少なく、長く美しい歯の白さを保てるのが特長です。
オフィスホワイトニング

当院の歯科医師や歯科衛生士が行うホワイトニングです。
歯科医院専用の高濃度薬剤と専用機器を使用し、歯を白く輝かせます。1回の施術でも効果を実感できるため、短期間で歯を白くしたい方にはオフィスホワイトニングがおすすめです。
デュアルホワイトニング
オフィスホワイトニングとホームホワイトニングを組み合わせて行う方法です。
短期間で歯を白くできるオフィスホワイトニングの効果と、自宅でじっくり白さを維持できるホームホワイトニングの利点を両方取り入れられるのが特長です。
歯を早く白くしたい方や、その白さを長く保ちたい方におすすめです。
白さをキープするための
定期メインテナンス

ホワイトニングで得た白さを長持ちさせるためには、定期的なメインテナンスが役立ちます。
歯科医院でのクリーニングでは、毎日のブラッシングでは落としきれない着色汚れを除去し、歯の表面をなめらかに整えることで、汚れが付着しにくい状態を保ちやすくなります。
ご自宅でのケアと並行して、歯医者でのメインテナンスを継続することで、ホワイトニングによる白さをより長く感じていただけるだけでなく、お口の健康管理にもつながります。
白い歯と健やかなお口の状態を維持するためのひとつの方法として、当院での定期的なメインテナンスをご活用ください。
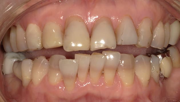
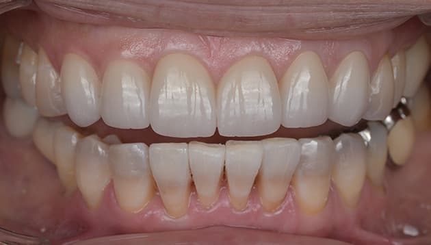
症例紹介
全顎審美治療症例
- 症例について詳しく見る
-
症例名 全顎審美治療 患者さまの主訴 全体の歯を綺麗にしてほしい・歯並びも気になる 治療内容 上下矯正治療、セラミック治療、ダイレクトボンディング治療 患者さまの年齢 48歳 患者さまの性別 女性 治療期間 10ヶ月 治療にかかった総額 220万(税込) 治療する際に起こるメリット 治療により、見た目の改善、噛み合わせ・咀嚼機能の改善、清掃性向上(虫歯・歯周病リスク低下につながる場合)などが期待できます。
※効果には個人差があります。治療する際に起こるリスク・副作用 治療には、疼痛・違和感、虫歯/歯周病リスク、後戻り(矯正)、補綴物の破損/脱離、歯肉退縮などの可能性があります。



