新着情報
- TOP
- 新着情報
新着情報
-
お知らせ
2026.04.28
用賀駅直結の歯医者をお探しの方へ|SBS歯科・矯正歯科
-
お知らせ
2026.04.26
GW期間中も休みなく診療しております!
-
お知らせ
2026.03.18
はじめまして|土日祝も毎日診療用賀駅直結のSBS歯科・矯正歯科です
-
お知らせ
2026.01.21
【2026年3月2日】リニューアルオープンのお知らせ
-
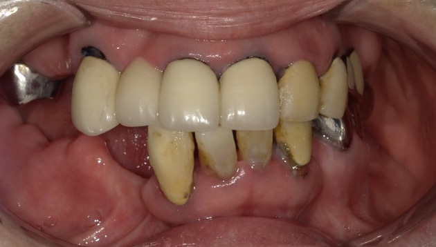
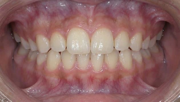
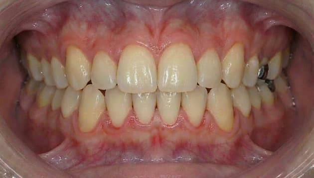
症例紹介
2026.01.21
全顎審美治療症例
-
症例紹介
2026.01.21
小児矯正症例
-
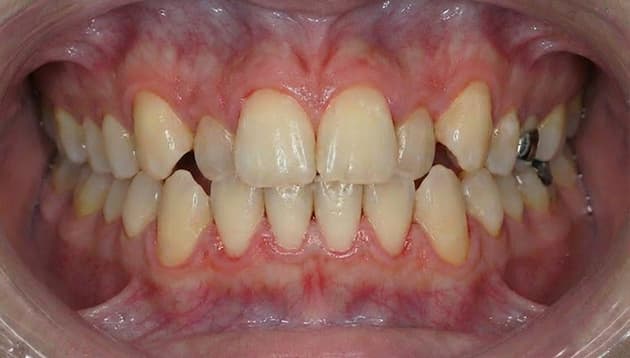
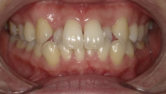
症例紹介
2026.01.21
上下非抜歯マウスピース矯正症例
-
症例紹介
2026.01.21
上顎部分矯正症例
-
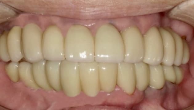
症例紹介
2026.01.21
上下全顎インプラント治療症例



