矯正治療
- TOP
- 矯正治療
歯並びに
お悩みではありませんか?

- 前歯のガタガタやすき間が気になる
- 写真を撮ると笑顔に自信が持てない
- 噛みにくい、食事がしづらい
- 口元が出ている、後ろに下がっているように見える
- 矯正したいが目立つ装置には抵抗がある
- 矯正するべきかどうか自分では判断できない
歯並びの乱れは、見た目の印象だけでなく、噛み合わせやお口全体の健康にも深く関わっています。歯が重なっていると日々の清掃がしにくくなり、虫歯や歯周病のリスクも高くなります。また、噛み合わせのバランスが崩れることで、顎の疲れや違和感につながる場合もあります。
用賀の歯医者「SBS歯科・矯正歯科」では、患者さま一人ひとりのお悩みや背景を丁寧に伺い、ライフスタイルやご希望に合わせた矯正治療をご提案しています。
矯正無料相談のご案内

当院では、矯正治療をご検討中の方を対象に、無料相談を実施しています。
現在の歯並びの状態や気になっている点をお伺いし、考えられる治療方法や治療期間の目安、使用できる装置の種類などをわかりやすくご説明します。
矯正は長期間にわたる治療ですので、治療を始める前に、不安や疑問をしっかり解消しておくことが大切です。まずはお気軽にご相談ください。
当院の矯正治療の
こだわり・強み
総合歯科医院ならではの
一貫した矯正治療

当院は、矯正治療だけでなく、一般歯科、口腔外科、インプラント、予防歯科まで幅広く対応する総合歯科医院です。そのため、矯正治療中に虫歯や歯周病が見つかった場合でも、院内でスムーズに対応できます。
また、噛み合わせや顎の動き、将来的な歯の健康まで総合的に考えながら治療を行うため、見た目だけの改善ではなく、長く健康を保つための矯正治療が可能です。
矯正後の仕上がりや後戻り対策、メンテナンスまで一貫してサポートできる点は、総合歯科ならではの強みです。
3DCT撮影とセファロ分析で
より精密な治療を

矯正治療では、見た目の歯並びだけではなく、骨格や顎の位置関係を正確に把握することが欠かせません。
当院では3DCTとセファロ分析を併用し、歯の傾きや顎の位置関係、成長の傾向などを詳細に診断します。
これにより、治療後の変化を予測しやすくなり、より精度の高い治療計画を立てることが可能です。
見た目と機能性、
どちらも追求する診療方針

当院の矯正治療は、歯並びをきれいに整えることだけを目的としていません。「しっかり噛める」「発音しやすい」「将来も健康を保ちやすい」など、機能面の改善も大切にしています。
噛み合わせが整うことで均等に力がかかり、歯が長持ちする土台ができます。さらに清掃性も高まり、虫歯や歯周病の予防にもつながります。
顔貌の変化や横顔のバランスも考慮し、患者さまのイメージしたゴールに近づける治療を心がけています。見た目と機能性、どちらも満たす矯正治療を提供することが当院のこだわりです。
患者さまに合った
矯正装置のご提案が可能

矯正装置には、ワイヤー矯正、舌側矯正、マウスピース矯正、インプラントアンカーなど、さまざまな選択肢があります。
当院では、症例やライフスタイルに合わせて最適な装置をご提案できるよう、幅広い矯正装置に対応しています。
「装置が目立つのは避けたい」「できるだけ痛みを抑えたい」「治療期間を短くしたい」など、ご希望に合わせた選択が可能です。
マイナスをプラスの未来へ
当院の矯正治療への思い

歯並びの悩みは、見た目だけでなく、心の負担にもつながることがあります。人に相談しづらい不安やコンプレックスを抱えている方も少なくありません。
当院は、そのマイナスの気持ちをプラスの未来へ変えるお手伝いをしたいと考えています。矯正治療は時間をかけて行う治療ですが、その分、患者さまご自身が変化を実感し、自信を取り戻していく過程をともに歩むことができる治療でもあります。
私たちは、患者さまの生活の質が向上し、自信や笑顔が増えていく未来を一緒に目指します。
当院の取り扱い矯正装置
ワイヤー矯正

歯の表側にブラケットを取り付け、ワイヤーで歯を牽引して動かす矯正歯科治療法です。一般的なメタルブラケットに加え、目立ちにくいクリアブラケットやホワイトワイヤーにも対応しています。
また、プレミアムブラケットプランでは摩擦の少ない「セルフライゲーションブラケット」を使用します。
セルフライゲーションブラケットとは、ワイヤーをブラケットに固定する際にゴムや細いワイヤーを使わず、ブラケット自体の構造でワイヤーを固定する装置のことです。この仕組みにより、弱い力でも効率的に歯を動かすことができ、患者さまへの負担を抑えつつ、着色しづらく、治療期間も短く済むのが特長です。
インプラントアンカー

矯正歯科用に開発された小さな器具「アンカースクリュー」を使った矯正治療です。
あごの骨に器具を埋め込み、それを固定源として歯を動かすため、従来の矯正では難しかった方向にも歯を移動させることができます。また、歯を大きく動かせるため、治療期間を短くできるのも特長です。
インプラントアンカーを使用することで、より安全に短期間で矯正治療を行うことが可能です。
リンガル矯正

歯の裏側(舌側)にブラケットとワイヤーを装着して歯を動かす矯正歯科治療法です。歯の表側からは装置がほとんど見えないため、見た目を気にせず治療を進めたい方に選ばれています。
装置は舌側に取り付けるため、慣れるまで発音や違和感を覚えることがありますが、少しずつ快適になります。また、表側矯正と同様に、精密な治療計画に基づき歯を効率的に動かせるのが特長です。
マウスピース矯正

マウスピース型の矯正装置を装着して歯を動かす治療法です。
口腔内スキャナーで精密に歯型を採取し、それに合わせてマウスピースを作製します。歯を少しずつ動かすので、痛みや違和感を覚えづらいのが特長です。
マウスピースは薄く透明な素材で目立たず、取り外しもできるため、食事やブラッシングも快適に行えます。装置が目立つのが気になる方におすすめの矯正方法です。
ハイブリッド矯正
ワイヤー矯正とマウスピース矯正を組み合わせて行う矯正歯科治療法です。
歯を大きく動かす必要がある場合や、マウスピースだけでは動かしにくい部分にはワイヤー矯正を使用し、その後の微調整は目立ちにくいマウスピース矯正で行います。効率的に歯を動かしながら、見た目にも配慮した治療が可能です。
部分矯正

前歯のすき間など、気になる部分だけを整える矯正治療法です。
すべての歯ではなく、必要な部分だけを動かすため、治療期間が短く、費用も抑えられます。数本の歯だけ整えたい方に適した治療法です。
小児矯正

子どもの矯正歯科治療は、乳歯から永久歯に生え替わる時期に始めるのが適しています。あごの成長を活かすことで、永久歯がきれいに生えるためのスペースを確保できます。無理に歯を動かさないため、負担が少なく歯並びを整えられるのも大きなメリットです。
その他、小児矯正にはさまざまな利点があります。お子さまの歯並びについて気になることがあれば、ぜひお気軽にご相談ください。
美しい歯並びは、
将来のお口の病気予防にも

歯並びを整えることは、見た目の改善だけでなく、将来の歯の健康を守ることにもつながります。
ガタつきや重なりがあると歯ブラシが届きにくく、汚れが残りやすいため、虫歯や歯周病のリスクが高くなります。矯正治療によって歯列が整うと、清掃性が向上し、毎日のケアがしやすくなることから、虫歯、歯周病の予防に役立ちます。
また、噛み合わせが適切に整うことで、噛む力が歯全体に均等にかかり、特定の歯に過度な負担がかかることを防ぎます。これは将来的な歯の破折や歯周組織へのダメージを軽減し、長期的な健康維持にも役立ちます。
矯正治療は、見た目を整える治療であると同時に、将来のお口のトラブルを防ぐための土台づくりでもあるのです。
矯正治療は大人になってからでも遅くありません。今だけでなく、これから先の健康まで見据えた選択として、歯並びを整えることを考えてみてください。
症例紹介
当グループでは、年間1,000症例以上*の矯正治療を行っています。
この豊富な経験値をグループ全体で共有し、ドクター同士が常に最新の知見や技術を学び合うことで、難易度の高い症例にも対応できる体制を整えています。組織としての層の厚みを活かし、一人ひとりの患者さまに、より精度の高い矯正治療をお届けできるよう努めています。
*2025.1/1~12/31の期間に当グループ全院で実施した治療件数の合計
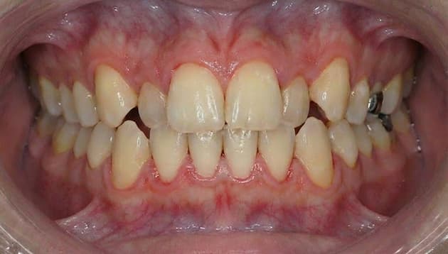
上顎部分矯正症例
- 症例について詳しく見る
-
症例名 上顎部分矯正/上の前歯のガタガタ 患者さまの主訴 小さい頃に矯正したが後戻りしてきた、上のガタガタ治したい 治療内容 上顎部分ワイヤー矯正 患者さまの年齢 36歳 患者さまの性別 男性 治療期間 5ヶ月 治療にかかった総額 33万円(税込) 治療する際に起こるメリット 治療により、見た目の改善、噛み合わせ・咀嚼機能の改善、清掃性向上(虫歯・歯周病リスク低下につながる場合)などが期待できます。
※効果には個人差があります。治療する際に起こるリスク・副作用 治療には、疼痛・違和感、虫歯/歯周病リスク、後戻り(矯正)、歯肉退縮などの可能性があります。



