マウスピース矯正
- TOP
- マウスピース矯正
矯正治療の不安に寄り添うマウスピース矯正

マウスピース矯正に興味はあるものの、「ワイヤー矯正の方とどちらが自分に合っているのか」「自分の歯並びでもきちんと整うのか」「費用はどのくらいかかるのか」といった点が気になり、なかなか一歩を踏み出せない方も多いのではないでしょうか。
用賀の歯医者「SBS歯科・矯正歯科」では、用賀エリアで安心して矯正治療を受けていただけるよう、治療を始める前の疑問や不安を丁寧に整理し、患者さま一人ひとりの歯並びやライフスタイルに合った治療方法をご提案しています。
マウスピース矯正が適しているかどうかも含めて、分かりやすくご説明しますので、まずはお気軽にご相談ください。
口腔内スキャンを使った
矯正無料相談

当院では、マウスピース矯正をご検討の方を対象に、無料相談時に口腔内スキャン(iTero)を無料で行っています。
治療後の歯並びの変化をその場でシミュレーション表示することが可能で「どれくらいきれいに並ぶのか」「治療期間はどの程度か」など、視覚的に確認することができます。
初めて矯正を受ける方でも、明確なイメージを持って治療を検討していただけますので、ぜひご活用ください。
世界で確かな信頼を集める
インビザライン*を
取り扱っています

当院では、マウスピース型の矯正装置「インビザライン*」を採用しています。
インビザライン*は米国のアライン・テクノロジー社が開発した矯正システムで、世界100か国以上、延べ800万人以上の方が使用している実績があります。
専用のマウスピースを一定期間ごとに交換しながら歯を少しずつ動かし、理想的な歯並びを目指します。薄く透明で軽いため目立たず、取り外しも可能なので、食事や歯磨きも普段通り行えます。
また、当院ではインビザライン*だけでなく、その他のマウスピース矯正装置にも対応しています。患者さまのご希望やお口の状態に合わせて最適な装置をご提案できます。
*マウスピース型矯正装置 ※薬機法対象外
インビザライン「ダイヤモンド・プロバイダー」による矯正治療

当院の運営法人「医療法人社団 大志」は、アライン・テクノロジー社より「ダイヤモンド・プロバイダー」に認定されています。プロバイダーとは、年間の症例数や治療実績に基づいて評価される認定制度で、毎年更新されます。
ダイヤモンド・プロバイダーとして豊富な症例経験を持つ当法人では、その知見を活かし、患者さま一人ひとりに最適なマウスピース矯正をご提供しています。
口腔内スキャナーiTeroで型採りするメリットとは?
精密な3Dスキャンで
精度の高い治療を

マウスピース矯正で最も重要なのは、装置のフィット感です。
当院では、iTeroによる3Dスキャンを用いて歯型を採取しています。従来の印象材による型採りと比べ、より高精度なデータを取得できるため、患者さま一人ひとりに適したマウスピース型矯正装置の作製が可能です。iTeroは、快適で正確な矯正治療には欠かせないツールです。
患者さまの負担や不快感を
大幅に軽減

従来の印象材を使った歯型採りでは、口の中に異物を入れる時間が長く、嘔吐反射が起きてしまう方も少なくありませんでした。iTeroでは、小型カメラで口腔内をなぞるように短時間でスキャンできるため、身体的な負担や不快感を大幅に軽減できます。
スキャンから装置作製まで
スピーディー

iTeroでは、患者さまの歯型をデジタルデータとして保存します。スキャン後すぐに装置の製作会社へデータを送信できるため、マウスピースの作製を迅速に開始できます。そのため、マウスピース作製までの工程がスムーズになり、治療開始までの期間短縮にもつながります。
マウスピース矯正の流れ
- 無料カウンセリング相談
-

歯並びに関するお悩みや疑問、治療方法についてのご質問など、どんな些細なことでもご相談ください。歯科医師が丁寧にわかりやすくご説明いたします。
カウンセリングではお口の中をスキャンし、治療後のイメージもご確認いただけます。もちろんこちらも無料ですので、安心してお気軽にご相談ください。
- 精密検査
-

より正確にお口の状態を把握するために、レントゲンや3DCT撮影を行います。
- 治療計画の立案
-

カウンセリングや検査結果をもとに、患者さまのご希望を尊重しながら、一人ひとりに合った治療計画をご提案します。治療前後のシミュレーション画像を用いながら、治療内容や期間、費用についてもわかりやすく丁寧にご説明いたします。
- 矯正治療前の処置
-

虫歯や歯周病がある場合は、矯正治療の前にまずそちらの治療を行います。そのまま矯正を進めても、十分な効果が得られないためです。
当院は一般歯科の診療にも対応しているため、矯正治療とあわせて複合的にお口のケアを行うことが可能です。安心してお任せください。
- 治療期間
-

患者さまにご納得いただいた治療方法で矯正を進めていきます。
マウスピース矯正では、装置を一定期間ごとに交換しながら歯並びを整えます。経過観察のための通院は、通常2~3か月に1回のペースですが、患者さまのお口の状態に合わせて調整いたします。
- 保定期間
-

矯正治療後は、歯並びの後戻りを防ぐために保定装置を装着します。
保定期間はお口の状態によって異なりますが、一般的には矯正治療と同程度の期間が必要とされています。歯が安定するまでしっかり保定することで、再矯正の必要がないようにします。
歯並びによっては
ワイヤー矯正の併用を
ご提案します

マウスピース矯正だけでは歯を動かすのが難しいと判断される場合は、一部の歯に対してワイヤー矯正を併用することがあります。
マウスピース矯正として治療を開始された場合でワイヤー矯正を行っても、基本的に追加料金はかかりません。治療完了まで責任を持って対応いたしますので、ご安心ください。
症例紹介
当グループでは、年間1,000症例以上*の矯正治療を行っており、マウスピース矯正においても豊富な経験とノウハウを蓄積しています。
難易度の高い症例を含め、グループ内の医師同士で知見を共有し、常に最新の技術を取り入れながら研鑽を積んでいます。多くの実績に裏打ちされた組織的な視点を活かし、一人ひとりの歯並びに合わせた精度の高いシミュレーションと、無理のない治療計画をご提案いたします。
*2025.1/1~12/31の期間に当グループ全院で実施した治療件数の合計
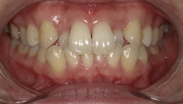
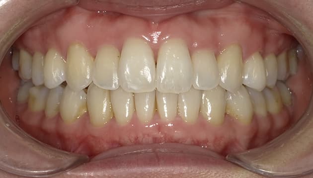
上下非抜歯
マウスピース矯正症例
- 症例について詳しく見る
-
症例名 上下重度叢生/八重歯の矯正治療 患者さまの主訴 歯がガタガタしていて、見た目を噛み合わせも気になる 治療内容 上下非抜歯マウスピース矯正 患者さまの年齢 21歳 患者さまの性別 女性 治療期間 1年4ヶ月 治療にかかった総額 77万円(税込) 治療する際に起こるメリット 治療により、見た目の改善、噛み合わせ・咀嚼機能の改善、清掃性向上(虫歯・歯周病リスク低下につながる場合)などが期待できます。
※効果には個人差があります。治療する際に起こるリスク・副作用 治療には、疼痛・違和感、虫歯/歯周病リスク、後戻り(矯正)、歯肉退縮などの可能性があります。



